男子打10分钟羽毛球后心梗 剧烈运动成诱因
03-26 HaiPress
两个38岁的宝爸同一天因为急性心梗被送进医院,且都发生在剧烈运动后。一位陪孩子打了10分钟羽毛球,另一位陪孩子爬了一次山。这两位父亲的情况引发了人们的关注。

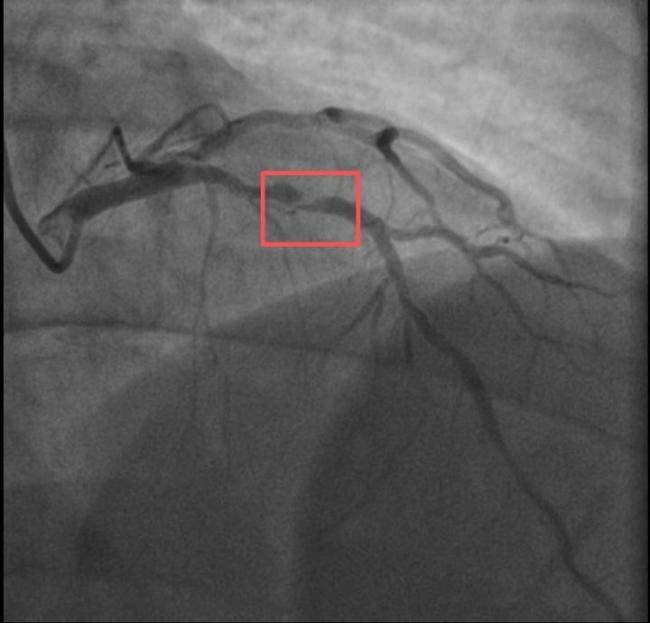
孙先生是一位羽毛球教练,身高173cm,体重约90KG。一年前,他因胸闷就诊时被查出心脏右冠中段、远端钙化斑块,以及心脏三支主要血管之一前降支中段60%狭窄。当时考虑到没有三高的危险因素(可能为早发冠心病家族史),孙先生坚信自己可以通过运动恢复健康,因此拒绝了介入治疗,只接受药物治疗。经过一年的努力,他的体重从96KG减到了90KG。然而,近日在带孩子练习羽毛球时,孙先生亲自上场挥杆仅10分钟左右,就因心前区剧烈绞痛被送进了急诊。医生分析,剧烈运动导致这位患者心脏的不稳定斑块破裂,进而造成前降支近段次全闭塞。所幸送医及时,孙先生的身体险情被化解。

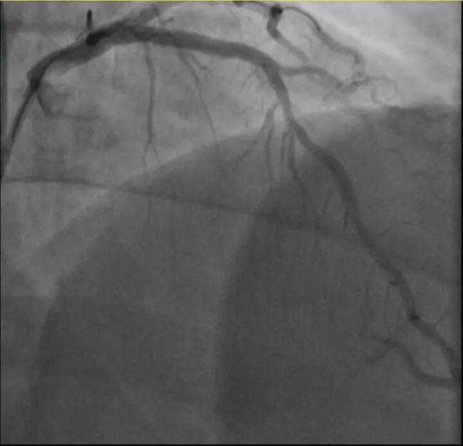
另一位38岁的钱先生也有类似遭遇。钱先生的血糖一直偏高,服药后控制不佳,但年轻的他并没有太在意。周末,他和孩子爬了一座山,隔天就因突发胸骨中段压榨性疼痛被送到了急诊,最后被证实也是心梗——心脏三支主要血管之一回旋支远段次全闭塞。医生介绍,钱先生来院时血糖12.79mmol/L(正常空腹值应该在3.9~6.1mmol/L),甘油三酯也超标。三高是导致动脉粥样硬化的主要危险因素,在冠状动脉粥样硬化早期,血管狭窄可能并不严重,但在运动、情绪激动等情况下,心肌耗氧量增加,可能导致心梗等急性心肌缺血事件。所幸及时治疗,钱先生也转危为安。
免责声明:本文转载自其它媒体,转载目的在于传递更多信息,并不代表本网赞同其观点和对其真实性负责,亦不负任何法律责任。 本站所有资源全部收集于互联网,分享目的仅供大家学习与参考,如有版权或知识产权侵犯等,请给我们留言。